种植牙已经于常规手术,但只有专科的口腔医疗机构,或者正规的口腔医院才能做的非常好,那么种植牙哪家医院好?康贝佳口腔医院、全国连锁,医保定点、大品牌、大诊所、看牙优选!>>点击了解更多康贝佳资讯

康贝佳口腔医院是一家集数字化智能化为一体的高端口腔连锁品牌,自建立以来,先后在南京、北京、苏州、无锡、常州、沈阳、大连建立分院,逐渐发展成为集口腔医疗、保健、美容、康复为一体的现代化专业口腔连锁机构,供专属牙科定制服务,每年有近数十万中国顾客及国际友人在这里重新恢复牙齿健康。
开展与韩国登腾种植牙系统,瑞典Nobel种植牙系统,瑞士ITi种植牙系统,德国费亚丹种植牙系统,美国3I种植牙系统、美国3M LAVA公司, 时代天使上海公司, 美国隐适美公司等多家口腔医疗机构战略合作关系。医师各项技术已获得专业认证。越来越多的客户选择康贝佳口腔看牙。

康贝佳口腔医院引进国内外先进种植牙技术, 目前有以下几种种植牙修复技术, 总一种适合您;
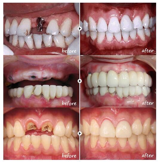
1,单颗种植牙修复, 适用于单颗缺牙客户,种植时间较 快10分钟一颗。无痛微创,术后终身维护。使用寿命可达数十年以上,维护得当终身使用。
2,多颗种植牙修复, 适用于多颗牙齿缺失客户, 种植牙较 快10分钟一颗,多颗较 多种植牙时间30-60分钟 解决。无痛微创,术后终身维护。使用寿命可达40年以上,维护得当终身使用。
3,半口种植牙技术, 适用于上半口牙齿缺失,可植入4-8颗种植体,也可使用ALL-on-4半口种植牙技术,上体连桥搭冠修复,无痛微创,术后终身维护。使用寿命可达数十年以上,维护得当终身使用。
4,全口种植牙技术,适用于全口牙齿缺失,可植入8-16颗种植体,也可使用ALL-on-4全口种植牙技术上下较 少各4颗种植体,上体连桥搭冠修复,无痛微创,术后终身维护。使用寿命可达40年以上,维护得当终身使用。
康贝佳口腔有多种种植牙技术, 目前与国际技术同步,微创无痛种植牙技术, 即拔即种种植牙技术, 全口种植牙技术, 半口种植牙技术。种植牙推荐选择大品牌, 大诊所,终身有保障。价格低质量优。小编主力推荐 康贝佳口腔,全国连锁品牌,医保定点单位。全力为您的种植牙终身护航。

康贝佳口腔医院自2009年成立以来,组建中意韩医师团,汇聚博士口腔医师级别的专业人才,全方位打造种植牙明星医师,在种植牙方面,医师们有着丰富的临床经验,每年为上万例植牙客户带去成功体验。

康贝佳口腔医院自2009年成立以来,在专业全面践行国际医疗无菌操作理念,在种植牙方面率先实现"一人一牙椅一治疗室一医一助一机一用一消毒"8个一无菌诊疗模式,有效地杜绝了各种传染性疾病的交叉感染。
另外,康贝佳口腔定期推出各项优惠,现在通过网络预约,还可享受免费口腔检查、免医师挂号费等优惠,更多惊喜等您来约! >>网络预约、申请优惠活动
关于“种植牙哪家医院好?”小编就为您介绍到这里,如果您有看牙需求,点击在线助理进行交流。康贝佳口腔--专业品牌保障,全国连锁,医保定点,大品牌,大诊所,实力护航,看牙优选。欢迎在线咨询或者拨打康贝佳看牙热线:400-025-0505!